Surgical treatments provided include :

  • Ankle Arthroscopy
  • Arthroscopic removal of bone spurs (Footballer’s ankle/Ankle impingement)
  • Arthroscopic ankle fusion
  • Arthroscopic treatment of osteochondritis dessicans
  • Arthroscopic Ligament reconstruction for sprained unstable ankles
  • Achiles Tendon Repairs

Anklel Arthroscopy

Ankle arthroscopy is performed for the surgical evaluation and treatment of a variety of ankle conditions. Arthroscopic surgery has a quicker recovery and less scarring, less pain than traditional open surgery. You may need ankle arthroscopy if you have debris in your ankle from torn cartilage or from a bone chip. Also, if there is ligament damage from a severely sprained ankle, arthroscopy can evaluate the extent of damage and repair it. Arthroscopic techniques are also used to fuse an arthritic ankle

Picture of ankle arthroscopy

Arthroscopic Ankle Fusion

Ankle Arthrodesis fuses the bones of the joint completely, making one continuous bone out of two bones. The goal is to reduce pain by eliminating motion in the arthritic joint. During arthrodesis, your surgeon removes the damaged cartilage and then uses screws to fix the joint in a permanent position. Over time, the bones fuse or grow together, just like two ends of a broken bone grow together as it heals. By removing the joint, the pain disappears.

This surgery was earlier done by open methods with a high complication rate. Arthroscopy specialists prefer to do it with arthroscopic techniques, minimizing complications and optimizing the results. With sophisticated arthroscopic techniques we have successfully fused ankles with 5 mm keyholes – even in cases which had 5-6 previous unsuccessful open surgeries and big scars!!

xray picture of arthroscopic ankle arthrodesis
Small scars after arthroscopic ankle arthrodesis or fusion

Arthroscopic Treatment of Osteochondritis Dessicans

Surgery for osteochondritis usually involves removing the loose fragment of cartilage and bone from the ankle joint and drilling small holes in the injured bone. When the fragment is removed, a defect shaped like a small crater is left in the talus bone. It is this area where the drill holes are made. The drill holes allow new blood vessels to grow into the defect and help to form scar tissue to fill the area. Eventually this new scar tissue smoothes out the defect and allows the ankle to move more easily. We routinely perform this surgery with arthroscopic techniques

Diagram showing osteochondritis dessicans and its treatment

Ankle Ligament Repair For Sprained Unstable Ankles

Surgery for osteochondritis usually involves removing the loose fragment of cartilage and bone from the ankle joint and drilling small holes in the injured bone. When the fragment is removed, a defect shaped like a small crater is left in the talus bone. It is this area where the drill holes are made. The drill holes allow new blood vessels to grow into the defect and help to form scar tissue to fill the area. Eventually this new scar tissue smoothes out the defect and allows the ankle to move more easily. We routinely perform this surgery with arthroscopic techniques

Picture showing arthroscopic ankle ligament repair
Diagram representing ankle ligament repair
Picture showing small stitches after arthroscopic ankle ligament repair

Planter Fascia Release For Heel Pain

Plantar fascia is a thick band of tissue connecting heel bone to the toes. Irritation and scarring of the plantar fascia, known as plantar fasciitis, is one of the common causes of heel pain. It develops over time and can become extremely painful, especially with the first few steps in the morning. Conservative (non-operative) treatment is always the first approach. This involves activity modification, medications, injections and a change in shoewear. If these options fail, you may need surgery to release the tight band of plantar fascia. We have developed an arthroscopic technique for doing this procedure where the patient stays for only half a day in hospital and can join office in a couple of days

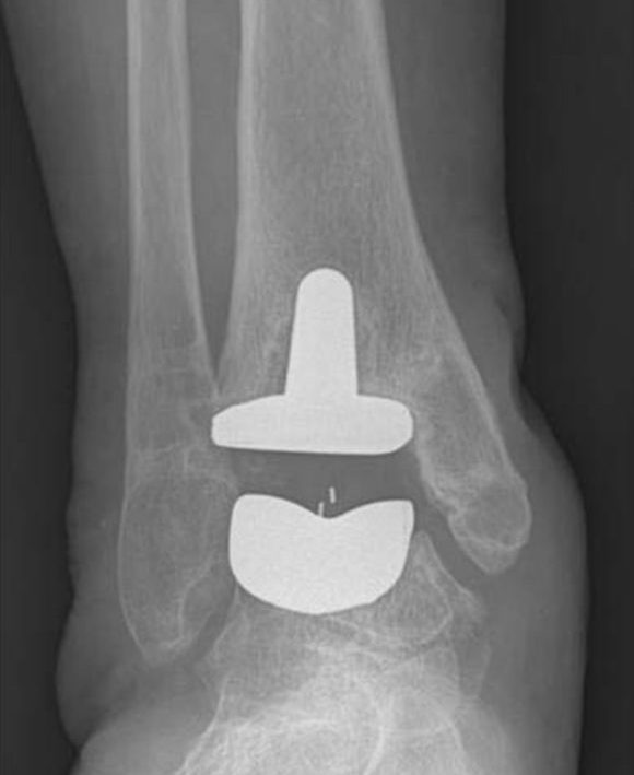
Ankle Replacement

Total ankle replacement (also called ankle arthroplasty) is a surgical option for patients with arthritis of the ankle in old age. This operation can relieve pain and maintain motion in the arthritic ankle joint and is an alternative to arthrodesis (ankle fusion) which can relieve pain but eliminates motion in the joint. Although it does not have the same long-term track record of hip or knee replacement, ankle replacement looks very promising for future

Xray picture of total ankle replacement

Achilles Tendon Repairs

The Achilles tendon is the largest tendon in the body. It connects your calf muscles to your heel bone and is used when you walk, run, and jump.

Although the Achilles tendon can withstand great stresses from running and jumping, it is vulnerable to injury. A rupture of the tendon is a tearing and separation of the tendon fibers so that the tendon can no longer perform its normal function. Complete tears of the Achiles Tendon in young active individuals require surgical repair to restore ankle function

Diagram of a ruptured Achilles tendon
Picture showing surgical scar and good function after left tendoachilles repair